
Should Decayed Baby Teeth Be Directly Extracted?
Should the decayed teeth of children during the tooth replacement period be directly extracted? Usually, we think that having a tooth extracted is a one-time solution, but the actual outcome

Should the decayed teeth of children during the tooth replacement period be directly extracted? Usually, we think that having a tooth extracted is a one-time solution, but the actual outcome

3D intraoral scanner is used by more and more dentists for its advantages, such as convenience, fast results, accuracy and direct process. An intraoral scanner consists of a handheld camera

In many homes, we can see that mini ultrasonic cleaners are used to clean dental appliances, such as retainers, aligners, and dentures. Mini ultrasonic cleaner is a compact electronic device

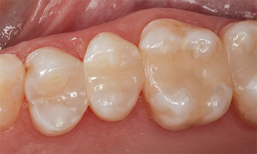
Dental restoration usually can save tooth The tooth is usually advised to be saved through dental restoration as much as possible, unless severe tooth decay has reached the deepest parts of the

The higher the intensity of dental curing light, the better the curing effect? Dental curing light is a vital tool used to cure composite resin for filling decayed tooth. It

What is an X-ray machine? At the end of the 19th century, scientist discovered the X-Ray which is electromagnetic radiation with a wavelength range of 0.01 to 10 nanometers and

Have you been worrying about your teeth not being white and regular ? As we know, white even teeth can significantly enhance your smile’s attractiveness and contribute to a more

What is a dental ultrasonic scaler? Removing the hard deposits are often referred to as scaling. Ultrasonic scalers are devices that utilize ultrasonic vibrations to break up and remove plaque and calculus from the

Birth of Dentistry The history of dentistry stretches back thousands of years, with evidence of dental treatments found in ancient civilizations such as the Egyptians, Greeks, and Romans. The

Portable dental units are designed and developed to meet door-to-door oral health care. It has the characteristics of small size, easy to carry, complete functions, and so on. Because of

Tooth whitening has been popular for a long time, and although we have 10 years of experience in this field, we are always exploring how to do tooth whitening faster,

With the covid-19 pandemic, how to prevent infection has become a topic of concern for many people. We developed dental handpieces with an anti-retraction function five years ago. Although it
Dentalkeys will only notify you by email when a new product is launched.
We won’t send you any emails at other times.